如何治療貓股骨遠端幹骺端粉碎性骨折?
2025年5月24日
今天跟大家分享寵物貓股骨遠端幹骺端粉碎性骨折的治療方法。
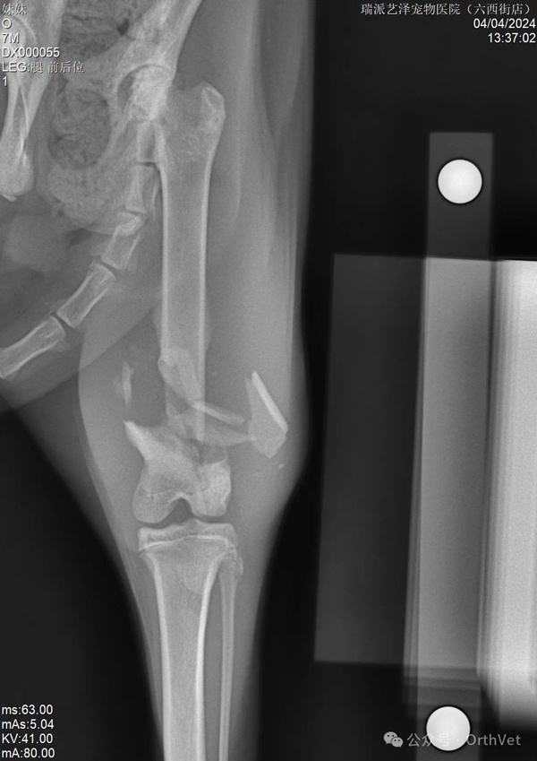
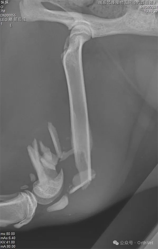
意外事故時有發生,導致各種災難性的後果。有時我們可以救治,但很多時候我們卻無能為力。這隻貓從高處跳下,遭受了嚴重的粉碎性骨折。手術的困難在於:幼貓需要考慮股骨的生長問題。幸運的是,6個月以上年齡的貓,股骨遠端生長板已經沒有太多剩餘的生長空間。其次,也要考慮動物術後無法有效限制運動,這涉及到股骨遠端髕股滑車和膝關節的活動。所採用的固定結構要考慮生長、機械穩定性和骨癒合等因素。基於上述考慮,股骨遠端採用內外雙板固定,既穩定又能中和骨骼的軸向壓縮力。 PRCL-6.5+5mm 骨板 內外固定採用股骨乾螺絲固定。採用膝關節外側入路,延伸至股骨中部。先行股骨內側固定,內側骨板不需過多塑形,再進行外側固定。在結構和力學穩定的情況下,盡量少用螺絲,盡量採用鎖定螺絲固定。術後需加強活動,避免肌肉沾黏及股四頭肌收縮。術後可使用預防性90-90繃帶固定3-5天。
以上是術前X光片
手術後追蹤及複查一切正常。










